NewTom 5G XL é o dispositivo inovador que fornece imagens volumétricas altamente detalhadas.
O único dispositivo de CBCT com posicionamento do paciente deitado, maximiza a estabilização e oferece uma ampla gama de FOVs, resultando em imagens de raios-X 2D e 3D de altíssima qualidade que são perfeitas para vários campos médicos: doenças odonto-maxilofaciais, aplicações de otorrinolaringologia , análise completa das vias aéreas e exame das articulações, ossos e coluna cervical.
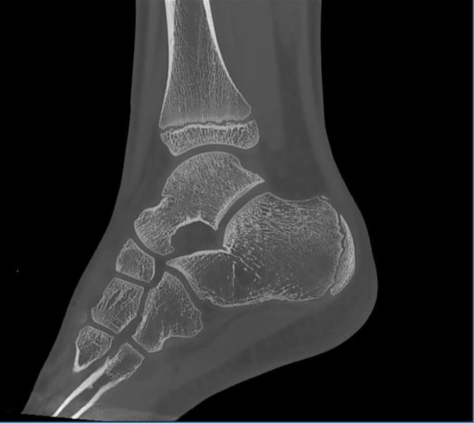
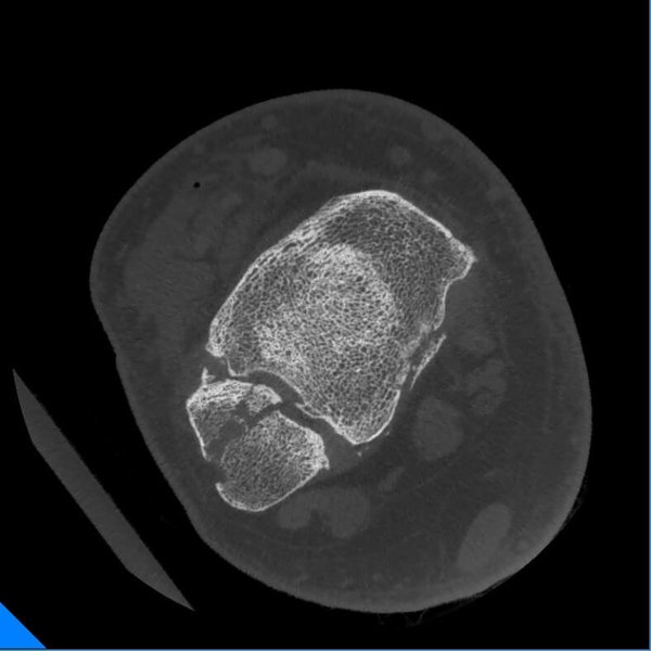
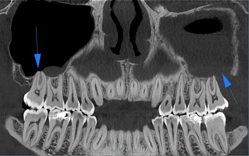
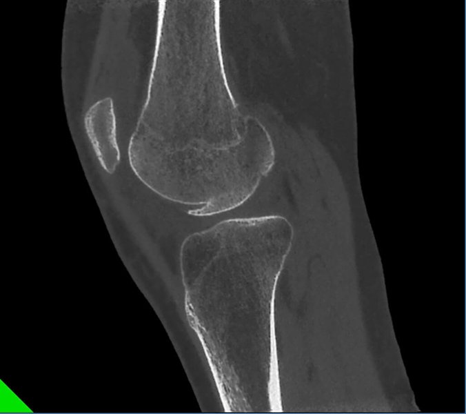
Veja exemplos de diagnósticos de imagem
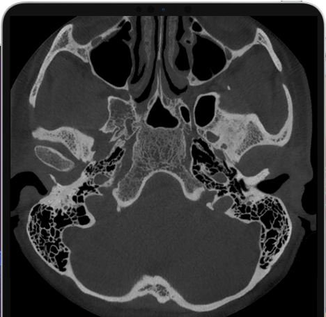
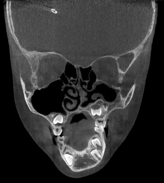
Aquisição maxilofacial para avaliação cirúrgica em paciente com Síndrome de Goldenhar
Conheça mais sobre o 5G XL

Imagens volumétricas de alta definição de tecido ósseo com um voxel isotópico “nativo”, seções não sobrepostas e menos artefatos. Com a tecnologia CBCT, o 5G XL oferece exames mais rápidos e baixas doses de radiação com maior segurança para o paciente, melhor desempenho e um fluxo de trabalho cada vez mais eficiente. As imagens de alta qualidade geradas pelo 5G XL são ideais para múltiplas áreas médicas, como doenças odonto-maxilo-faciais, aplicações em otorrinolaringologia, análises completas das vias aéreas superiores e exames precisos de ossos e articulações, membros e coluna cervical.
5G XL é o único dispositivo de CBCT disponível no mercado com o paciente deitado. A mesa do paciente motorizada de fibra de carbono, que pode ser controlada a partir do console de bordo ou do PC, permite adaptar o exame a qualquer necessidade de aquisição de imagens com o paciente deitado em decúbito dorsal ou prono, crânio-caudal ou posição cranial-caudal. O gantry aberto facilita o acesso à área de digitalização e elimina qualquer sensação de claustrofobia e ansiedade. Os exames dos membros superiores são realizados com o paciente sentado no lado oposto da mesa.


5G XL oferece resultados de alto padrão com baixa dose de radiação para o paciente e desempenho excepcional como resultado de recursos de alto nível incomparáveis: O gerador de alta potência melhora a filtragem que protege contra as radiações de baixa energia mais prejudiciais. A emissão de raios-X ocorre em modo pulsado durante a varredura por um tempo extremamente limitado, de um mínimo de 0,9 s a um máximo de 5,4 s. Finalmente, a colimação variável limita a exposição apenas às regiões de interesse.
- ECO Scan
- SafeBeam ™
- Ray2D
Imagens 2D e 3D de alta qualidade com uma ampla gama de FOVs e software dedicado. Um potencial extraordinário para um diagnóstico preciso em todas as situações.
- APLICAÇÕES ORTOPÉDICAS.
- APLICAÇÕES DE CABEÇA E PESCOÇO.


Com a função inovadora Ray2D, o 5G XL gera imagens de raios-X 2D (18 x 19 cm) que são perfeitas para exames de acompanhamento preliminares e pós-cirúrgicos. A função exclusiva do CineX investiga estruturas anatômicas móveis, como dutos de saliva e mobilidade articular. Esta tecnologia avançada usa uma sequência de imagens de raios-X para criar um vídeo no formato 18 x 19 cm que também pode ser exportado para o formato de vídeo padrão.
O software de imagem versátil e poderoso para realizar o exame, processar dados e compartilhar o diagnóstico.
NNT é a ferramenta essencial para processar e gerenciar imagens 2D e 3D e vídeos de raios-X (CineX). Um software que adapta a interface do usuário e oferece funções de análise dedicadas para as necessidades específicas de radiologistas e médicos especialistas. Algoritmos de reconstrução de volume e filtros avançados criados pela experiência da NewTom otimizam a qualidade da imagem final e reduzem a presença de artefatos e o tempo necessário para a reconstrução da imagem.
Fale agora com nossos consultores, será um enorme prazer falar com você.
Falar no WhatsApp whatsappcall(43) 3542-3939
whatsapp(43) 99819-0570
businessRua Eurípedes Rodrigues, 755 - Salas 703 e 704
location_onCentro - Bandeirantes-PR